Stay up-to-date and get informed about interesting topics. Or get in touch with our sales department.
When treating patients in urgent care situations, the timely execution and communication of radiological findings is crucial. It’s paramount that the first image be the right image to expedite a confident diagnosis and treatment.
But for radiology teams, the fact that patients may be in pain, in shock, or under great stress makes it more challenging to get diagnostic-quality images.
Here are some of the ways we’re making imaging in urgent care situations easier.

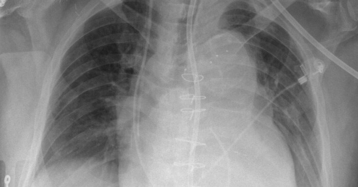
Diagnostically relevant details such as catheters or small vessels must be visible with great clarity, even in challenging viewing conditions with large variations in tissue radio-density. Clarity is essential to reduce exam length and manage dose, and is particularly important for pediatric patients, as well as for those who are immobile or very sick.
Dynamic UNIQUE is a second-generation multiscale image enhancement that provides a high level of detail, according to the diagnostic need, in real time. Each single frame is fully processed, without significant additional computation time (below 14 ms for fluoroscopy, below 55 ms for exposures), even at high frame rates (up to 30 fps). Therefore, the diagnostically important image content is optimally enhanced according to the clinical task. Dynamic UNIQUE features a perfect harmonization of areas filled with contrast agent, soft tissue, and bones, even in challenging viewing conditions with large variations in tissue radio-density. Contrary to traditional multiscale enhancement algorithms, Dynamic UNIQUE processing strictly separates global and local contrast enhancement, preventing undesired enhancement artifacts. If desired it is easily customizable according to the diagnostic need.
Optimal representation and visibility of diagnostically important information results in an enhancement of diagnostic details, such as small vessels and catheters, without enhancement artifacts or image clipping. A lessened risk to miss important details leads to an increase in diagnostic confidence.
Diagnostically relevant details such as catheters or small vessels must be visible with great clarity, even in challenging viewing conditions with large variations in tissue radio-density. Clarity is essential to reduce exam length and manage dose, and is particularly important for pediatric patients, as well as for those who are immobile or very sick.
Dynamic UNIQUE is a second-generation multiscale image enhancement that provides a high level of detail, according to the diagnostic need, in real time. Each single frame is fully processed, without significant additional computation time (below 14 ms for fluoroscopy, below 55 ms for exposures), even at high frame rates (up to 30 fps). Therefore, the diagnostically important image content is optimally enhanced according to the clinical task. Dynamic UNIQUE features a perfect harmonization of areas filled with contrast agent, soft tissue, and bones, even in challenging viewing conditions with large variations in tissue radio-density. Contrary to traditional multiscale enhancement algorithms, Dynamic UNIQUE processing strictly separates global and local contrast enhancement, preventing undesired enhancement artifacts. If desired it is easily customizable according to the diagnostic need.
Optimal representation and visibility of diagnostically important information results in an enhancement of diagnostic details, such as small vessels and catheters, without enhancement artifacts or image clipping. A lessened risk to miss important details leads to an increase in diagnostic confidence.
Attaching and de-attaching a grid in urgent care situations adds time and physical effort to the imaging process. This slows the path to diagnosis and increases the chance of error through potential issues like grid misalignment. Gridless X-ray capabilities provide a solution to this challenge, but come with their own set of complications such as an increased likelihood of scattered radiation that negatively impacts image quality.
SkyFlow gridless X-ray reduces the effect of scattered radiation for non-grid bedside chest exams, allowing for DR images with grid-like contrast while avoiding the time and effort of attaching and detaching a grid. SkyFlow identifies scatter signal and automatically applies correction immediately at the bedside, allowing radiologists to review images and make decisions on the spot.
With no grid to attach, SkyFlow scatter correction algorithm achieves the high-image contrasts that lead to a confident clinical diagnosis in emergency settings.
Through Philips mDIXON XD fat suppression application, we can help radiology teams achieve robust capturing of fat-free MRI images in a hectic ED environment. This technology brings a new dimension to fat-free imaging suppression by providing uniform, complete and consistent fat-free images as well as images with both water and fat at the same time, especially useful when time is of the essence Robust with regard to susceptibility-type problems that come up with traditional spectral fat-free images, mDIXON XD can bring speed and clarity to MRI imaging.
High lipid concentration of adipose tissues can make it difficult to interpret MRI exams. Information can be missed when the right acquisitions, such as with as well as without fat suppression, are not included. While this can be solved by adding sequences, this adds to the duration of the exam and increases the likelihood for patient motion – a source of image degradation.
Utilizing MR in the emergency department means a prioritizing speed to enable a quick diagnosis. However, accelerating scans can compromise imaging quality and can result in blurry images. Through Compressed SENSE, an application that enhances productivity in imaging by increasing the data that is able to be pulled quickly from scans, including both 2D and 3D scans, all anatomical contrasts and all anatomies.
When patients present to the ER complaining of abdominal pain, finding the root cause quickly can be challenging using conventional images.
IQon Spectral CT consistently captures spectral information without special planning or set-up. In this case of a middle-aged female presenting to the ER complaining of abdominal pain, an abdomen/pelvis scan was ordered. The patient was scanned on the IQon Spectral CT.
Upon reviewing the conventional CT, the clinician noted that the pancreatic duct appeared to be dilated, but they could not identify the cause from the conventional images. The scan was immediately reviewed using Spectral Magic Glass, which allowed the radiologist to view five different spectral results without changing his workflow. Upon review of the various results, the clinician identified a lesion in the head of the pancreas and the patient was referred for an endoscopic ultrasound biopsy. That pathology report identified a tubular adenoma of the Ampulla of Vater.
Images courtesy of UCL Brussels, Belgium
When patients present to the ER complaining of abdominal pain, finding the root cause quickly can be challenging using conventional images.
IQon Spectral CT consistently captures spectral information without special planning or set-up. In this case of a middle-aged female presenting to the ER complaining of abdominal pain, an abdomen/pelvis scan was ordered. The patient was scanned on the IQon Spectral CT.
Upon reviewing the conventional CT, the clinician noted that the pancreatic duct appeared to be dilated, but they could not identify the cause from the conventional images. The scan was immediately reviewed using Spectral Magic Glass, which allowed the radiologist to view five different spectral results without changing his workflow. Upon review of the various results, the clinician identified a lesion in the head of the pancreas and the patient was referred for an endoscopic ultrasound biopsy. That pathology report identified a tubular adenoma of the Ampulla of Vater.
Learn how Philips solutions help radiologists overcome obstacles to confident diagnosis. See them all:
You are about to visit a Philips global content page
ContinueSpletna stran je namenjena samo osebam, ki medicinske pripomočke uporabljajo kot profesionalci, vključno z osebami, ki opravljajo poklice v zdravstveni dejavnosti, osebami, ki delujejo za zdravstvene subjekte, ali subjekti, ki trgujejo z medicinskimi pripomočki kot profesionalci. Spletno mesto nikakor ni namenjeno potrošnikom ali splošni javnosti.
Ali ste oseba, ki izpolnjuje zgornja merila?