Solutions designed to help you make confident decisions even in challenging cases, and offer your patients innovative treatment options.
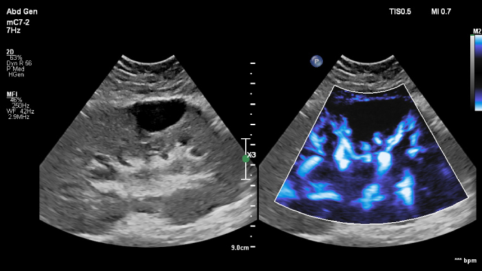
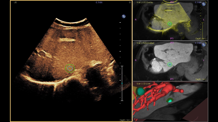
Philips ultrasound systems for interventional radiology support a range of sophisticated capabilities for interventional applications. Streamlined workflow allows clinicians to achieve fast and effective fusion of CT/MR/PET/CBCT with live ultrasound, while needle navigation aids in guiding biopsy and ablation of small and difficult-to-access lesions. Fusion and navigation can also be used in conjunction with Contrast-Enhanced Ultrasound (CEUS), giving clinicians access to even more powerful diagnostic tools with advanced visualization.



The Philips image fusion and navigation system has been extremely valuable to us. Cases we normally perform with CT-fluoroscopic guidance are now routinely performed in the IR suite. This has improved workflow by reducing the need to find time on our busy CT scanner. It has also reduced radiation exposure for the patient, staff, and operator."
Ezana M. Azene, MD., Ph.D.
Vascular and Interventional Radiologist, Gundersen Health System, La Crosse, WI
Philips ultrasound fusion and navigation can help you meet your operational and patient care goals in interventional procedures.

Results based on a 50-person single-center prospective randomized controlled trial; individual outcomes may vary.
Kim E, Patel RS, Fischman AM, Nowakowski S, Lookstein RA. CT-Guided Liver Biopsy With Electromagnetic Tracking: Results From a Single-Center Prospective Randomized Controlled Trial. AJR 2014; 203:W715–W723.
The CIVCO Verza biopsy guide can be attached directly to the transducer, without an external bracket, allowing needle guidance with a minimal blind zone. Embedded electromagnetic sensors provide an ergonomic solution for fusion and navigation by not requiring external tracking accessories.
This small-footprint ergonomic transducer was specially designed for procedure guidance under ultrasound, to allow imaging in tight intercostal spaces, help reduce rib shadowing on images, as well as provide a more direct needle approach for procedures.


Gain more time to focus on the procedure ahead and spend less time on performing the registration necessary for accurate fusion.
Achieve successful alignment of CT or MR volumes to ultrasound in <1 minute for the effective characterization of lesions. Registration of two imaging modalities by conventional methods can be time-consuming and technically challenging, often taking up to 10 minutes to achieve successful fusion.

Auto Registration simplifies fusion imaging so that more time can be spent evaluating pathology while optimizing the patient experience."
Andrew McNeill, Consultant Radiologist
Freeman Hospital NHS, UK
This semi-automated tool helps outline a 3D contour around a structure of interest, improving procedure guidance even in challenging cases where the lesion may not be visually obvious under ultrasound. The lesion can be rendered in 3D or 2D via a complementary modality and overlaid on the live ultrasound or CT, helping visualize the location in relation to surrounding critical structures.


Offering the industry’s only interventional workflow with CT-only needle navigation on an ultrasound system, image fusion and needle navigation unlocks flexibility and opens up new possibilities by making image fusion and the use of ultrasound imaging completely optional. Needle location in relation to CT is tracked and updated in real time for procedural visualization, allowing providers to tackle complex cases and anatomy, even where ultrasound imaging is not possible. Continuous patient tracking technology. Once the registration step is complete, the patient can move, change position, and the field generator can be moved in or out of the procedure space without losing anatomical landmarks or diminishing tracking accuracy.
CT-only workflow
EPIQ Elite Elevate provides high-quality imaging and tailored clinical information to help clinicians deliver timely, confident answers to more patients worldwide. With advanced intelligence and an exceptional level of performance, EPIQ Elite meets the demands of today’s most challenging practices.
Affiniti 70 Elevate is the most advanced system in the Affiniti family, delivering stunning image quality and a suite of premium clinical features. Offering new levels of diagnostic confidence and reproducibility, it is designed for fast-paced environments with enhanced workflow and robust performance—helping you deliver the best possible care every day.
Let Philips help you leverage the full potential of ultrasound over a wide range of clinical care areas with a comprehensive portfolio of performance-driven products, services and knowledge.








You are about to visit a Philips global content page
ContinueSpletna stran je namenjena samo osebam, ki medicinske pripomočke uporabljajo kot profesionalci, vključno z osebami, ki opravljajo poklice v zdravstveni dejavnosti, osebami, ki delujejo za zdravstvene subjekte, ali subjekti, ki trgujejo z medicinskimi pripomočki kot profesionalci. Spletno mesto nikakor ni namenjeno potrošnikom ali splošni javnosti.
Ali ste oseba, ki izpolnjuje zgornja merila?