FieldStrength MRI magazine
Close to the world-renowned Texas Medical Center in Houston, TX, USA, Benjamin Cheong, MD, Raja Muthupillai, PhD and Claudio Arena, MR technologist are using their Philips Ingenia Ambition 1.5T MR system at Live Healthy Imaging for a full range of exams, with a focus on cardiac studies, an area in which all three have extensive experience. The team envisions a growing use of cardiac MR as a primary diagnostic tool.
We want to narrow the gap between what is possible and what is being routinely done as much as we possibly can."
Raja Muthupillai, PhD

Raja Muthupillai, PhD is CTO at Live Healthy Imaging, and is an imaging scientist by training. He has 20 years of experience in the field of Cardiac MR research and clinical practice across industry, academia, and hospital settings. When he is not scanning inanimate objects, he enjoys teaching the art and science of CMR to fellows, and students.

Benjamin Cheong, MD Specialized in cardiology and radiology. He previously worked at Baylor St. Luke’s Medical Center as the Clinical Director of cardiovascular imaging from 2006 – 2020. He specializes in non-invasive imaging of the heart using MR and CT. Ben is the resident guru of Pokemon lore and a good friend of Pikachu, and Pichu.

Claudio Arena MR/CT technologist. He has 30 years of experience in general MRI and Cardiac MRI. He was previously employed as at Baylor St. Luke’s Hospital as a research imaging technologist for more than a decade. When he is not creating art in front of the MRI scanner, Claudio likes sharing his knowledge on how to make good espresso.
Dr. Muthupillai explains that the center's goal is to bring to fruition the full potential of MRI, both for cardiac MR and for all other applications. "We want to narrow the gap between what is possible and what is being routinely done as much as we possibly can," he says. Opened in January 2021, Live Healthy Imaging (Bellaire, Texas, USA) schedules clinical studies three days per week and reserves two days for research. Cardiac studies make up approximately 60% of cases. A full cardiac workup – including cine imaging, viability, T1 and T2 mapping – takes about 35 minutes. If perfusion is added, this adds 6 minutes to the protocol duration. "This is faster than in the past, when these studies typically took us 55 minutes," Dr. Cheong points out. "The Ambition and accelerated scanning using Compressed SENSE reduces scan time and significantly improves our imaging. This gives us the flexibility to tailor our scanning to the needs of the patient by either making the exams shorter, or improving the SNR or the spatial resolution." Dr. Cheong adds that workflow efficiency also contributes to a shorter time slots. "We can setup the room easily, and patients follow the instructions from the AutoVoice – this makes a tremendous difference with these multiple breath holds needed in cardiac MR.” "We do a targeted acquisition of the heart with a small field-of-view of about 300 mm. By keeping our field-of-view fairly constant across patients, we improve workflow. The other important advantage is that this immediately gives the physician a good impression of the relative volume of space occupied by the heart within the field-of-view."
The 1.5T Ambition and accelerated scanning give us the flexibility to tailor our scanning by either making the exams shorter or improving the SNR or spatial resolution."
Benjamin Cheong, MD

We would like to see a change in our reactive mindset and instead diagnose patients before they are significantly ill."
Raja Muthupillai, PhD
While an outpatient cardiac MR center may be seen as an anomaly, Dr. Muthupillai and Dr. Cheong think it is a natural fit, because an outpatient center is more likely to encounter patients earlier in the disease process. In 2017, 5.7 million people in the US had heart failure, and it is estimated that by 2030, more than 8 million people will have this condition – a 46% increase in prevalence in just over a decade [1], and will impose a staggering economic cost to the US health system and the team envisions that not only will cardiac MR increasingly become a primary tool for cardiac diagnosis, but that its use will expand from diagnosis to prevention and treatment assessment. Dr. Cheong notes that in a hospital setting, echocardiography is likely to always be the first modality used to image heart patients. It is portable, patient-friendly and very familiar to cardiologists. "However, in a nonemergent setting, MR can be the primary modality," he says. "If a patient has heart failure, I'd want to know the cause, so rather than doing an echocardiogram, I would use MR to assess heart function. I can also look at morphology to assess proximal coronary arteries, and look at viability to see if there is prior damage. MR also can help us determine if the patient has non-ischemic cardiomyopathy versus ischemic cardiomyopathy."
"Heart disease develops over decades before it manifests itself as a significant disease,” Dr. Muthupillai adds. "When I worked at a tertiary care setting, 90% of the patients we imaged were already very sick. They had already had echocardiography and nuclear studies, and only when they were out of options were they sent to the MR department.” "We would like to see a change in our reactive mindset that we have to wait for disease to develop before doing anything, and instead want to diagnose patients before they are significantly ill. To spur that change, a concerted effort is needed to make powerful clinical tools like cardiac MRI accessible to the general population."
When thinking of MRI’s potential to help detect dysfunction before symptoms appear, Dr. Muthupillai envisions the use of an abbreviated, non-contrast study that measures left ventricle function, flow, and tissue characterization. "That can give quite a bit of information about chamber sizes and chamber volumes. In a subset of patients with very vague symptoms we might look at the proximal coronary artery origins," he says. "From the shape of the left ventricle, we can determine if patients have a hypertrophic cardiomyopathy or a dilated cardiomyopathy, independent of the body habitus. We can also quantify valvular regurgitation really well with MR."
The Live Healthy team is also investigating the Fast-SENC technique that is available on their Ambition system. “It’s quite intriguing to look at SENC for measuring myocardial strain, because it is rapid,” says Dr. Muthupillai. Fast-SENC enables pixelwise strain measurements inside the heart muscle. The data is then processed and analyzed with MyoStrain software which generates a clinical report. The clinical report provides a health score of heart function. Healthy LV myocardium is quantified in a single percentage number [2]. With the combination of Philips Fast-SENC and MyoStrain early dysfunction of heart failure may be detected across 48 segments of the heart [3] in 10 minutes.
It’s quite intriguing to look at SENC for measuring myocardial strain, because it is rapid."
Raja Muthupillai, PhD

Cardiac MR's reproducibility can benefit assessment of treatments as well, according to Dr. Cheong. He cites heart function assessment after bypass surgery and hypertension as two areas where cardiac MR may have a role. "If a patient with hypertension has concentric hypertrophy, MRI can help detect if there's a regression in heart thickness, which would indicate good blood pressure management," he explains. He also notes that while echocardiography is very good at assessing mitral regurgitation, MRI also can be used to measure regurgitant volume and regurgitant fraction. Amyloidosis is a fourth area that would benefit from follow-up via MRI. "In the past, if a patient was diagnosed with amyloidosis, we only could do symptom management," he explains. "But new medication substantially improves the mortality of the patient. And by doing tissue characterization, I can see whether there is improvement as a result of treatment." MRI also has potential to be used during treatment because of its excellent soft tissue contrast, such as for guiding ablation and ASD closure procedures. "MR can be used for guidance without radiation during the procedure, and allows us to look at the results immediately," Dr. Cheong states. "However, emerging technology and more innovations are needed to bring this to clinical practice and adoption."
By doing tissue characterization, I can see whether there is improvement as a result of treatment."
Benjamin Cheong, MD
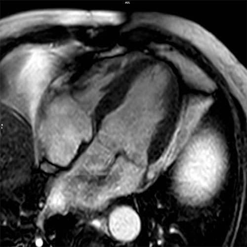
Cardiac MR images of a patient with non-ischemic cardiomyopathy showing delayed enhancement and severe mitral regurgitation.

PSIR - 4 chamber view

PSIR – short axis view

bTFE - 4 chamber view

EPI cine - 4 chamber view

Live Healthy Imaging also plans to conduct research centering on COVID and myocardial inflammation. "A study conducted in Germany showed that 60 days after COVID infection, a significant number of patients had myocardial inflammation. One of the interesting things about their study was that they found that this inflammation was present even in patients who were not hospitalized [4]," according to Dr. Muthupillai. "So, we are preparing for a study along the same lines. I think the MR can play a very big role to first help determine if there is active inflammation and then to assess how the various types of treatments mitigate that inflammation." The team at Live Healthy Imaging is closely working with Dr. Melvyn Ooi, clinical scientist from Philips, to investigate the role of advanced CMR methods in improving patient care.
The patient comfort, reduced scan times and high image quality really help me in delivering a good cardiovascular MR service."
Benjamin Cheong, MD
The combination of motions of the beating heart, respiration, and blood flow make cardiac studies a demanding area of MRI. Live Healthy Imaging chose a Philips Ingenia Ambition 1.5T system because it offers excellent image quality as well as flexibility, speed and advanced technology to conquer motion artifacts. “I don’t think there is a better MR system. In so many ways the flexibility of a Philips system is such that our decision was a no-brainer,” Dr. Muthupillai notes. "Philips provides a comprehensive set of tools toaddress motion, both with VCG for cardiac pulsation as well as sophisticated navigators and VitalEye to address respiratory motion. "VitalEye touchless patient sensing provides breathing detection without a respiratory belt and without any operator interaction. “Compressed SENSE to shorten the scan time and length of breath holds is also very useful,” Mr. Arena states. "Free-breathing protocols and sequences that require breath holds of only a few seconds allow us to obtain images with both high temporal and spatial resolution," Dr. Cheong adds. “The patient comfort, the reduced scan times and the high image quality really help me in delivering a good cardiovascular MR service. Having all tools and features I need for myocardial characterization is a big bonus as well.” Helium-free operation and easy siting are other advantages of the Ambition system. Particularly for those building an MRI room from scratch, not having to install a vent pipe saves on construction cost.

The VitalScreen provides operator guidance

Easy coil positioning

Checking the VitalEye signal when standing next to the patient
Before, I really thought of the Ambient package as just eye candy; I didn’t realize the impact it would have on patients."
Raja Muthupillai, PhD

Ambient Experience is a big advantage, because when patients are scared, their heart rate goes up, which affects imaging."
Benjamin Cheong, MD
According to Mr. Arena, Ambient Experience sound and vision combined with AutoVoice and in-bore breath hold guidance help patients comply with breath hold requirements. In combination with VitalEye breathing detection, AutoVoice works within the natural breathing cycle of the patient and relieves technologists from manually instructing patients to hold their breath.
With the many breath holds in cardiac MR, AutoVoice makes a tremendous difference for me as technologist."
Claudio Arena, technologist
"So far we have not cancelled any clinical patients because of claustrophobia symptoms," Dr. Cheong adds. "They are a bit concerned walking in, but when they see the system, heart he music and see the screen, they just chill out. This is a big advantage because when patients are scared, their heart rate goes up, which affects imaging. When a patient needs sedation, they may fall asleep, which affects quality. Also, if patients receive sedation they can't drive home, which is a complication when exams are in an outpatient center."

"The AutoVoice is fantastic! It works very well for patients and with the many breath holds in cardiac MR it makes a tremendous difference for me as technologist. And it’s combined with Ambient Experience so patients not only hear the AutoVoice breathing instruction, but also visually see an indication of how long to hold their breath and how many scans are left," Mr. Arena says. Particularly in cardiac MR, breath hold coaching is a great benefit. It helps patients relax and stay calm because their minds are distracted with video and music. "The Ambient package makes a big difference in the patient experience," he points out. "Patients ask us for business cards because they want to give them to everybody that they know." “Before we began using the system, I really thought of the Ambient package as just eye candy more than anything else,” Dr. Muthupillai says. “I didn’t realize the impact that it would have on patients, so that has been a pleasant surprise.”
"So far we have not cancelled any clinical patients because of claustrophobia symptoms," Dr. Cheong adds. "They are a bit concerned walking in, but when they see the system, hear the music and see the screen, they just chill out. This is a big advantage because when patients are scared, their heart rate goes up, which affects imaging. When a patient needs sedation, they may fall asleep, which affects quality. Also, if patients receive sedation they can't drive home, which is a complication when exams are in an outpatient center."
We want to give them the confidence that they can get cardiac diseases diagnosed early and accurately by referring to cardiac MR."
Raja Muthupillai, PhD
The Live Healthy Imaging team notes that one way to broaden use of cardiac MR as primary modality is driving acceptance among primary care physicians. "We hope to start educating primary care physicians about how advanced MR imaging can help them manage their patients better," Dr. Muthupillai says. "We want to give them the confidence that they can getcardiac diseases diagnosed early and accurately by referring to cardiac MR. "Dr. Muthupillai points out that faster post-processing is another factor that will increase utilization of cardiac MR. Artificial Intelligence can potentially decrease post-processing time, as well as simplify image acquisition.
We hope to start educating about how advanced cardiac MR imaging can help them manage their patients better."
The Live Healthy Imaging team anticipates that in five years, cardiac MR will become an increasingly integral part of patient care, from early diagnosis through treatment assessment. "Long-term, the goal for diagnosis is a single-button, 15-minute cardiac MR exam," Dr. Muthupillai says. "That could make cardiac MR like a 'mammography of the heart', although it would contain functional information, rather than just anatomic information as in mammography."
Long-term, the goal for diagnosis is a single-button, 15-minute cardiac MR exam."
Raja Muthupillai, PhD
1. Savarese G et al. Global Public Health Burden of Heart Failure. Card Fail Rev 2017 Apr; 3(1): 7-11 2. Montenbruck M, et al. ESC Congress 2019. nr P600 3. Korosoglou G, et al. ESC Heart Failure. 2019 Aug; 6(4): 548-602 4. Puntmann VO et al, Outcomes of Cardiovascular Magnetic Resonance Imaging in Patients Recently Recovered From Coronavirus Disease 2019(COVID-19). JAMA Cardiol. 2020;5(11):1265-1273
Results from case studies are not predictive of results in other cases. Results in other cases may vary.
You are about to visit a Philips global content page
ContinueSpletna stran je namenjena samo osebam, ki medicinske pripomočke uporabljajo kot profesionalci, vključno z osebami, ki opravljajo poklice v zdravstveni dejavnosti, osebami, ki delujejo za zdravstvene subjekte, ali subjekti, ki trgujejo z medicinskimi pripomočki kot profesionalci. Spletno mesto nikakor ni namenjeno potrošnikom ali splošni javnosti.
Ali ste oseba, ki izpolnjuje zgornja merila?