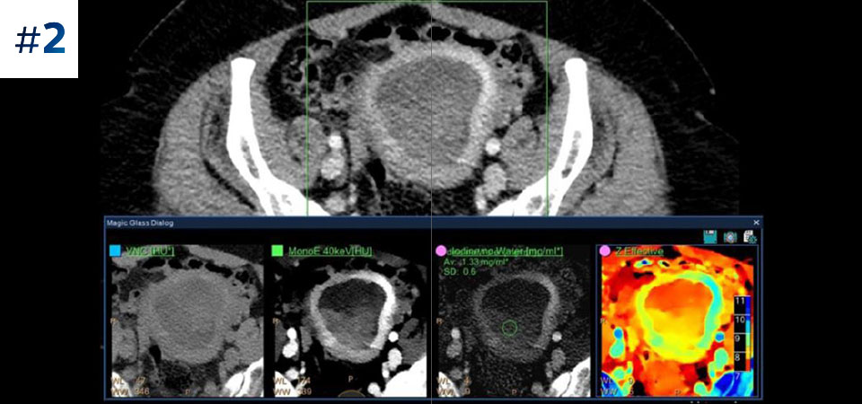
With detector-based spectral, you acquire multiple layers of data—conventional and spectral—within a single exposure and without special scan modes for improved tissue characterization and visualization.
Learn more about detector-based spectral at the Learning Center.

Scan as usual A single scan for fast, low-dose conventional and spectral data for every patient, every time.

Always available 100% spectral, 100% of the time for results that are always available on-demand, even retrospectively.

Reduced follow-up exams Improved tissue characterization and visualization may reduce the need for follow-up scanning for sub-optimal exams and incidental findings.

Across patient types Benefits a wide range of patient types from pediatric to bariatric.
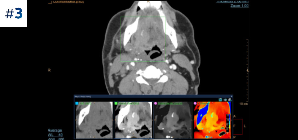
Neck mass
Check your answers here

Experience the simplicity of spectral-detector CT.

See the difference between spectral-detector CT and conventional CT

Learn about the advantages of spectral-detector CT

Re-experience the Philips 2020 spectral CT virtual summit

Discover all CT solutions
You are about to visit a Philips global content page
ContinueSpletna stran je namenjena samo osebam, ki medicinske pripomočke uporabljajo kot profesionalci, vključno z osebami, ki opravljajo poklice v zdravstveni dejavnosti, osebami, ki delujejo za zdravstvene subjekte, ali subjekti, ki trgujejo z medicinskimi pripomočki kot profesionalci. Spletno mesto nikakor ni namenjeno potrošnikom ali splošni javnosti.
Ali ste oseba, ki izpolnjuje zgornja merila?